|
染色体とは
細胞のサンプルを採取し、プレパラートの上で酢酸カーミン液という試薬を滴下すると、一点だけ赤く染まる部分があります。
これが、遺伝子の本体、染色体です。この中に遺伝情報のすべてが記録されているのです。
染色体は通常、長い糸が複雑に絡まった状態でしまわれています。
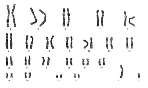
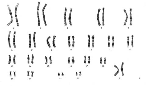
しかし、細胞分裂の際、人の場合は23対、全46のまとまりにきれいに分かれます。このときの形を基にして、大きいまとまりから順に番号をつけて染色体が識別されています。(図3,4)
一個体の各細胞には、染色体は共通して23対、46の染色体を持ち、それぞれの細胞一つ一つが個体の全遺伝情報を持っています。
対を成している、同じ種類の染色体を相同染色体、同じ働きの遺伝子を対立遺伝子と言います。
また、染色体には、大きく分けて、生物そのものの生命活動の
情報を決めている遺伝子が集まっている常染色体と、
生殖に関する情報を決める遺伝子が集まっている性染色体の2種類に分けられ、
常染色体は22対、全44、性染色体は1対、全2あります。
男性の場合、性染色体は、違う形のもの同士が対をなし、女性の場合は同じもの同士が対をつくっています。
男性のように異なる型の染色体を持つ性別をヘテロといい、女性のように同じ型同士の染色体を持つ性別をホモといいます。
ただし、染色体の全体の数や、染色体の形、ホモ、ヘテロについては生物の種類によって違います。
また、図のように相同染色体が2本で組を作るものを2倍体と言います。
ヒトでは、体細胞という、身体自体を構成している細胞がこれに当たります。
これに対し、精子や卵子のような生殖細胞と呼ばれる細胞は1倍体で、体細胞の半分の23しかありません。
なぜ生殖細胞が1倍体である必要があるのかは後で触れます。
back
|

図3:染色体(分裂時)の実物写真(男性) click to large
提供:Tokyo Medical Univercity Department of Paediatrics Genetics Study Group

図4:染色体(分裂時)の実物写真(女性) click to large
提供:Tokyo Medical Univercity Department of Paediatrics Genetics Study Group
男性では性染色体がXYだが、女性では両方ともXXになっている
|